Bite-terapia Olbia: soluzione integrata per Bruxismo e disordini temporo-mandibolari
La bite terapia rappresenta un intervento fondamentale per il trattamento di condizioni come il bruxismo e i disordini temporo-mandibolari (DTM). Presso il nostro studio dentistico di Olbia, offriamo un approccio multidisciplinare che combina l’esperienza di specialisti in gnatologia, fisioterapia e osteopatia per garantire un benessere completo dell’apparato masticatorio.
Eseguiamo terapie mirate con bite e/o placche di svincolo per:
- pazienti bruxisti
- pazienti con problematiche occlusali
- pazienti con problemi all’articolazione temporo-mandibolare

Disordini temporo-mandibolari (DTM): sintomi e diagnosi
I DTM si manifestano con sintomi come rumori o dolori alle ATM, difficoltà nell’aprire la bocca e dolore a viso e collo. Una diagnosi accurata è essenziale per individuare le cause sottostanti e sviluppare un piano di trattamento efficace.
Prenota online la tua visita
Compila il form inserendo i tuoi dati.
REGALATI
UN NUOVO SORRISO.
Prenota online la tua prima visita e scopri cosa il nostro studio dentistico può fare per migliorare il tuo sorriso.
Prenota ora!
La visita permette al paziente di venire a contatto con il dott. Catania e il team dello studio, oltre a conoscere la struttura.
E cosa più importante, inquadrare a fondo il suo problema di salute dentale.
Quindi capire quali possono essere le soluzioni migliori per risolverlo in maniera soddisfacente.
Cosa ti offriamo
Una struttura all’avanguardia in grado di darti un nuovo sorriso!
Bruxismo: cause e implicazioni
Curiamo l’usura dentale e i problemi masticatori
Il bruxismo consiste nel digrignamento o nel serramento involontario dei denti, spesso durante il sonno. Le sue cause possono includere stress, disallineamenti dentali o problemi all’articolazione temporo-mandibolare.
Le conseguenze del bruxismo vanno dall’usura dentale alla compromissione della funzionalità masticatoria, fino a disturbi del sonno come il russamento e l’apnea notturna.


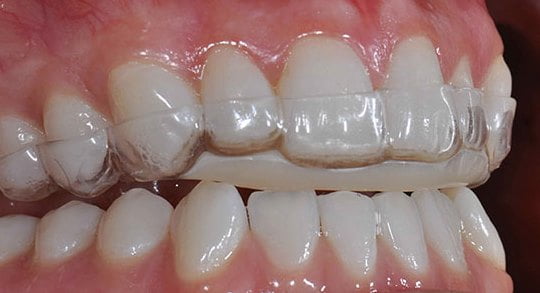
Il ruolo del Bite nella terapia
Riduce l’usura dentale e favorisce una corretta posizione della mandibola
Il bite è un dispositivo in resina personalizzato che si inserisce tra i denti superiori e inferiori. La sua funzione principale è quella di:
- Ridurre l’attrito: Minimizza l’usura dentale causata dal bruxismo.
- Allineare l’articolazione: Favorisce una corretta posizione della mandibola, alleviando la pressione sulle ATM.
- Equilibrare i muscoli masticatori: Contribuisce a un bilanciamento muscolare ottimale, riducendo tensioni e dolori associati.
Approccio multidisciplinare: integrazione di specialisti
Trattiamo le disfunzioni articolari e muscolari
Presso il nostro studio dentistico di Olbia, il trattamento con bite è integrato con altre terapie, tra cui:
- Fisioterapia e Osteopatia: Collaboriamo con professionisti per trattare disfunzioni articolari e muscolari correlate, migliorando la mobilità e riducendo il dolore.
- Supporto Psicologico: Offriamo consulenze per gestire lo stress e altri fattori emotivi che possono contribuire al bruxismo e ai DTM.

Perché scegliere i benefici della Bite-Terapia integrata?
1 Miglioramento della Funzione Masticatoria:
Ripristino di un’efficace capacità di masticazione.
Minimizza l’usura dentale causata dal bruxismo, favorisce una corretta posizione della mandibola.
2 Riduzione del Dolore:
Alleviamento di sintomi dolorosi associati a disfunzioni ATM e bruxismo. Contribuisce a un bilanciamento muscolare ottimale, riducendo tensioni muscolari e dolori vari.
3 Prevenzione di Danni Dentali:
Protezione contro l’usura e altri danni ai denti causati dal bruxismo.
Rumori o dolori alle ATM, difficoltà nell’aprire la bocca e dolore a viso e collo.
4 Massimo impegno sempre.
Dalla più semplice otturazione dentale alla riabilitazione implanto-protesica più complessa. Mettiamo sempre il massimo impegno per migliorare il vostro sorriso e la salute orale.
5 Esperienza e Competenza.
Da trent’anni il Dr. Catania si occupa di odontoiatria specialistica con particolare riferimento alla protesi, implantologia, parodontologia ed estetica dentale sempre ai massimi livelli.
6 Innovazione tecnologica.
La tecnologia ci aiuta a vivere meglio e ci permette di ottenere risultati sempre più soddisfacenti.
Cosa aspetti?
Contattaci oggi stesso per una consulenza personalizzata
La bite-terapia, combinata con un team di specialisti, offre una soluzione completa per chi soffre di bruxismo e disordini temporo-mandibolari. Se riconosci te stesso in questi sintomi, ti invitiamo a contattarci per una valutazione approfondita e per intraprendere un percorso terapeutico personalizzato.
